Blue Light Cystoscopy
St. Mary Medical Center now offers blue light cystoscopy with Cysview®—a newer technology that aids in earlier and more accurate detection, surveillance, and better treatment of bladder cancer.
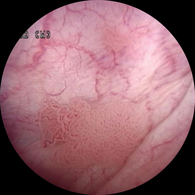
With blue light cystoscopy, urologists inject a contrast solution into the bladder that makes it easier for urologic specialists to identify cancerous bladder cells; the cells appear pink underneath the blue light, whereas they are nearly invisible under normal, white light.
Bladder cancer has one of the highest rates of recurrence among all cancers, requiring lifelong surveillance. The blue light cystosocpy with Cysview has been shown to decrease the recurrence of bladder cancer due to more effective diagnosis and treatment ultimately increasing overall survival.

Blue light cystoscopy allows the surgeon to visualize smaller tumors and lesions that may not be seen with a white light cystoscopy.

White light cystoscopy was formerly used to aid in diagnosing bladder cancer, but does not always easily show tumors or cancerous lesions.
St. Mary Medical Center now offers blue light cystoscopy with Cysview®—a newer technology that aids in earlier and more accurate detection, surveillance, and better treatment of bladder cancer.